いびき

いびきの症状

「寝ている時のいびきがうるさい」と言われたことのある方、睡眠中に繰り返し発生する呼吸の一時停止または浅い呼吸(睡眠時無呼吸症候群)で自分の寝姿やいびきについてコンプレックスを感じている方。
症状は初期段階であればそこまで気にする必要はありませんが、重症化すると日中眠気に襲われて生活習慣に影響を及ぼすだけではなく、 睡眠中に呼吸が止まる「睡眠時無呼吸症候群」を発症し重大な疾患を引き起こす場合があるため 、早めの対策が必要です。

原因

イビキの原因は何らかの原因で空気の通り道(気道)が狭くなり、そこを空気が通過することで喉の粘膜が振動して発生します。
気道が狭くなる原因には、先天性と後天性の2種類あり以下のケースは 特にいびきをかきやすい状況にあります。

・鼻が詰まっている
・肥満体質で首回りの脂肪が多い
・疲労
・飲酒や睡眠薬を飲んでいる
・扁桃肥大、アデノイド肥大、鼻中隔湾曲症がある
・睡眠時無呼吸症候群がある
・顎が小さい、舌口や口蓋垂(のどちんこ)が大きい

よくある治療の流れ

Flow

いびき治療「ナイトレーズ」

1

診察

診察で口の中の状態を確認します。
可能であれば数日の間、イビキを記録するアプリをダウンロードし、いびき記録を録音してもらいます

2

初回照射

約10~20分

3

終了

ダウンタイムや行動の制限なく、治療直後から食事も出来ます。
特にアフターケアーの必要はありません

当院の切らないレーザー治療でいびきを改善しませんか?

ナイトレーズ

切らない いびき治療「ナイトレーズ」とは

今までのいびきの治療法(メスなどによる切開など)とは違い、口の中(口蓋垂や軟口蓋)にレーザーを照射し熱エネルギーで引き締めるため痛みが少なく、安全に、ダウンタイムなしに、軽減させることが出来ます 喉の奥の体積を広げることにより空気の通りをよくし、同時にコラーゲンも生成されるため、口の中の引き締まった状態が続きます

ナイトレーズ機器

薬事承認と健康保険の適用

ライトウォーカーは国内薬事承認を取得しています。
いびき治療のナイトレーズは自費治療となります。

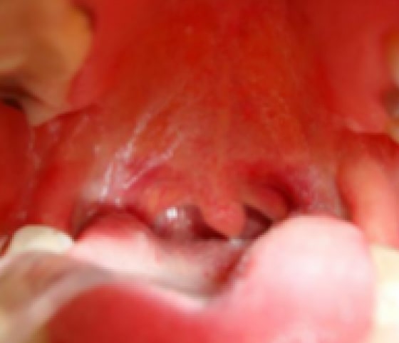
症例写真

Before

Before

After

After

いびきアプリ結果

治療にあたっての注意事項

所要時間 30分程度かかります。
痛みと麻酔 痛み:場所により熱感を感じることがあります。
麻酔:行いません。
ダウンタイム ごく稀に施術後に腫れが生じ、一時的に普段よりもいびきが大きくなる可能性がありますが、術後の経過とともに腫れは落ち着き、改善されていきます。
術後の飲食 直後からお食事もして頂けます。
シャワー・入浴 当日から可能です。
治療間隔 一か月毎に4~5回程度が目安となります。
※個人差がございます。

料金

イビキ治療1回 ¥55,000

[ お問い合わせ・ご予約はこちら ]

お電話からのお問合せ

03-5807-8241

[電話営業時間] 9:30-18:00

Instagram

アクセス

Access

〒113-0034
東京都文京区湯島3-31-3 湯島東宝ビル2F
  • 東京メトロ千代田線 湯島駅 3番出口 徒歩2分
  • 東京メトロ銀座線 上野広小路駅 A4出口 徒歩7分
  • 都営地下鉄大江戸線 上野御徒町駅 A4出口 徒歩7分
  • JR山手線 御徒町駅 北口 徒歩8分

<駐車場のご案内>

当クリニックは専用の駐車場のご用意はございません。
お車でお越しの際は一般コインパーキングのご利用をお願いいたします。